Καλέστε μας στο 210 98 27 162
ΗΛΙΑΣ Ι. ΧΙΝΤΙΠΑΣ, MD, MSc, PhD
Μαιευτικό - Γυναικολογικό Ιατρείο

Πρόληψη

Γυναικολογικό Υπερηχογράφημα

Το υπερηχογράφημα αποτελεί απεικονιστική, μη-επεμβατική διαγνωστική μέθοδο, που συμπληρώνει την γυναικολογική εξέταση για τη διάγνωση των συνηθέστερων γυναικολογικών προβλημάτων. Το γυναικολογικό υπερηχογράφημα γίνεται με δύο τρόπους: Διακοιλιακά, δηλαδή από την κοιλιά της ασθενούς, και διακολπικά, δηλαδή μέσω του κόλπου. Η διακολπική απεικόνιση θεωρείται καλύτερη για τον έλεγχο των έσω γεννητικών οργάνων. Η εξέταση είναι ανώδυνη, και δεν ενέχει κινδύνους για την εξεταζόμενη. Τα αποτελέσματα είναι διαθέσιμα άμεσα.
Το υπερηχογράφημα αναδεικνύει διάφορες γυναικολογικές παθήσεις, όπως ινομυώματα της μήτρας, κύστεις των ωοθηκών, υπερπλασία του ενδομητρίου, πολύποδες, κλπ. Μπορεί επίσης να χρησιμοποιηθεί για την παρακολούθηση της ωρίμανσης των ωοθυλακίων σε γυναίκες με υπογονιμότητα, ή σε γυναίκες που λαμβάνουν αγωγή για την πρόκληση ωορρηξίας.
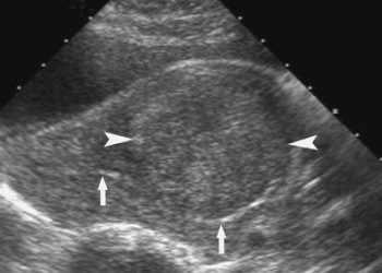
Ινομύωμα Μήτρας
Κύστη Ωοθήκης
Πολύποδας Μήτρας
Υπερπλασία Ενδομητρίου
Με την ειδική εξέταση Doppler, μπορούμε να μελετήσουμε την αιμάτωση των έσω γεννητικών οργάνων, ή διαφόρων παθολογικών στοιχείων, εξέταση που μας δίνει πρόσθετες πληροφορίες για τις καταστάσεις αυτές.
+ Πριν το διακολπικό υπερηχογράφημα, πρέπει να προηγηθεί η εκκένωση της ουροδόχου κύστης.
+ Κατά την εξέταση η ασθενής ξαπλώνει σε θέση λιθοτομίας.
+ Στη συνέχεια ο γυναικολόγος, αφού τοποθετήσει μικρή ποσότητα τζελ και ένα προφυλακτικό στην κεφαλή του υπερήχου, την εισάγει προσεκτικά στον κόλπο.
+ Η εξέταση είναι ανώδυνη, αλλά μερικές γυναίκες ενδέχεται να αισθανθούν μικρή δυσφορία από την πίεση της κεφαλής.
+ Τα εσωτερικά γεννητικά όργανα απεικονίζονται στην οθόνη και τα αποτελέσματα της εξέτασης δίδονται άμεσα.

Share This On:

Ιατρείο
Ο Κύκλος Μου
Συχνές Ερωτήσεις
Γυναικολογικά Θέματα
INFO
Αγίου Αλεξάνδρου 29
175 61 Παλαιό Φάληρο
Τηλ.: 210 98 27 162
email: info@drhintipas.gr
SOCIAL MEDIA
GDPR
Copyright ©2023. Δρ. Ηλίας Ι. Χιντιπάς

Απαγορεύεται η με οποιονδήποτε τρόπο αναπαραγωγή, δημοσίευση, αναδημοσίευση ή διάδοση του συνόλου ή μέρους του περιεχομένου της ιστοσελίδας για οποιονδήποτε σκοπό χωρίς την προηγούμενη γραπτή άδεια του Δρ Ηλία Ι. Χιντιπά